Real Patient Real ResultsSmile Transformations
Explore our gallery of successful treatments and see how we've helped transform countless smiles with our expert dental care.
Our Treatment ProcessJourney to Your Perfect Smile
Your First Visit
We'll get to know you, understand your needs, and discuss your goals.
Planning Your Care
Together, we'll create a clear plan to help you achieve a healthier, happier smile.
Your Treatment
We'll carry out your treatment with care and attention to make you feel at ease.
Ongoing Support
We're here to help you maintain your smile with regular check-ups and advice.
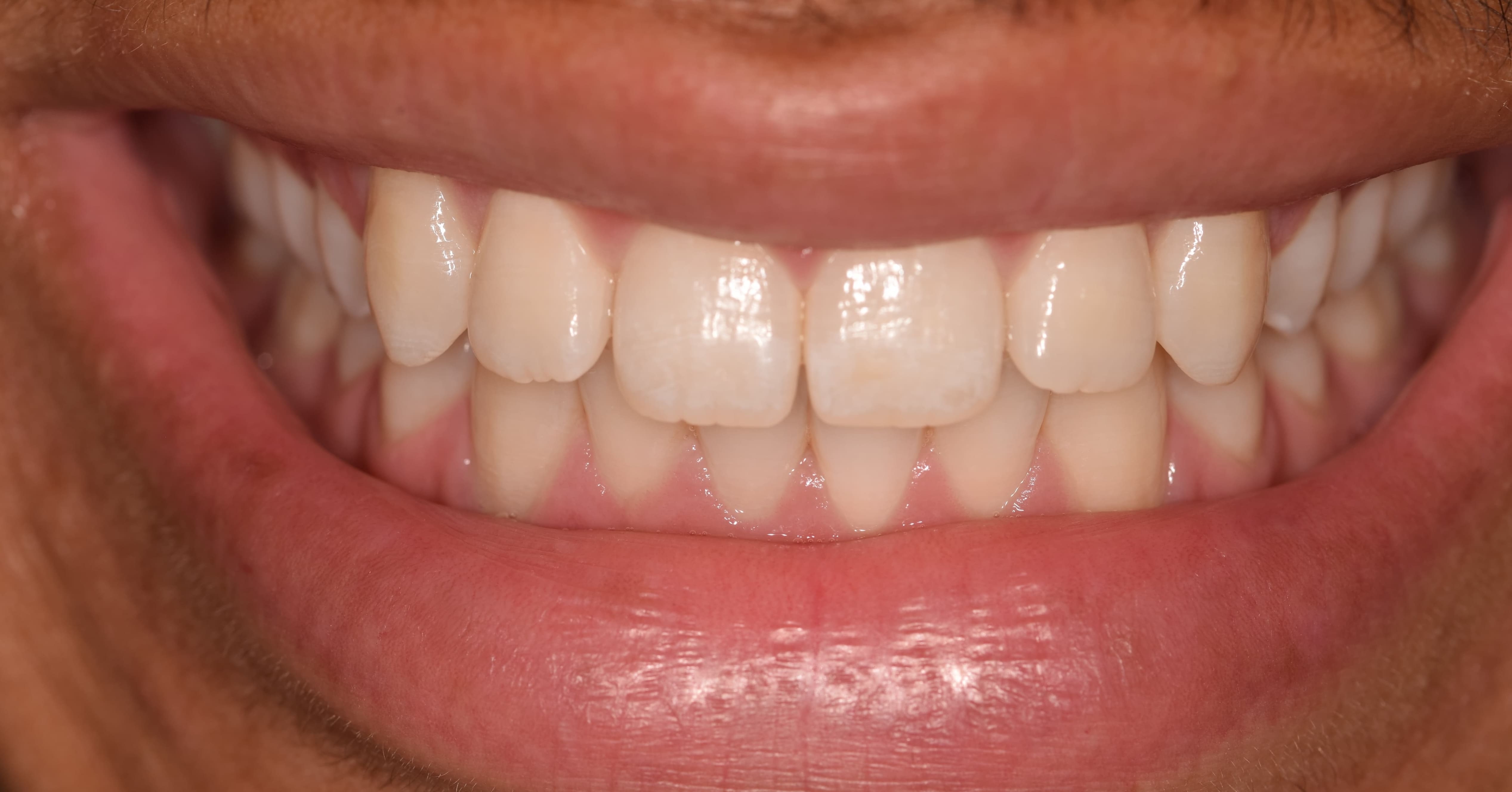
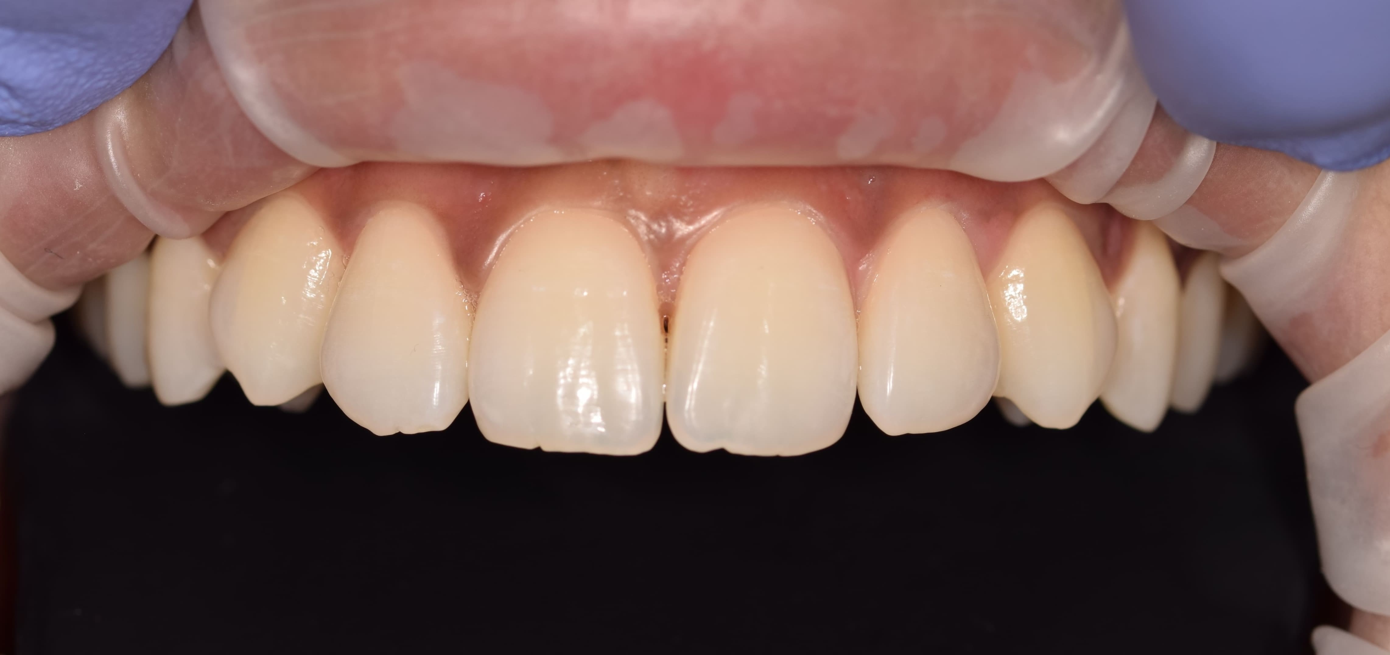
Porcelain Veneers on 4Treatment Duration: 2 weeks
Veneers

A smile transformation with porcelain veneers on 4 upper teeth
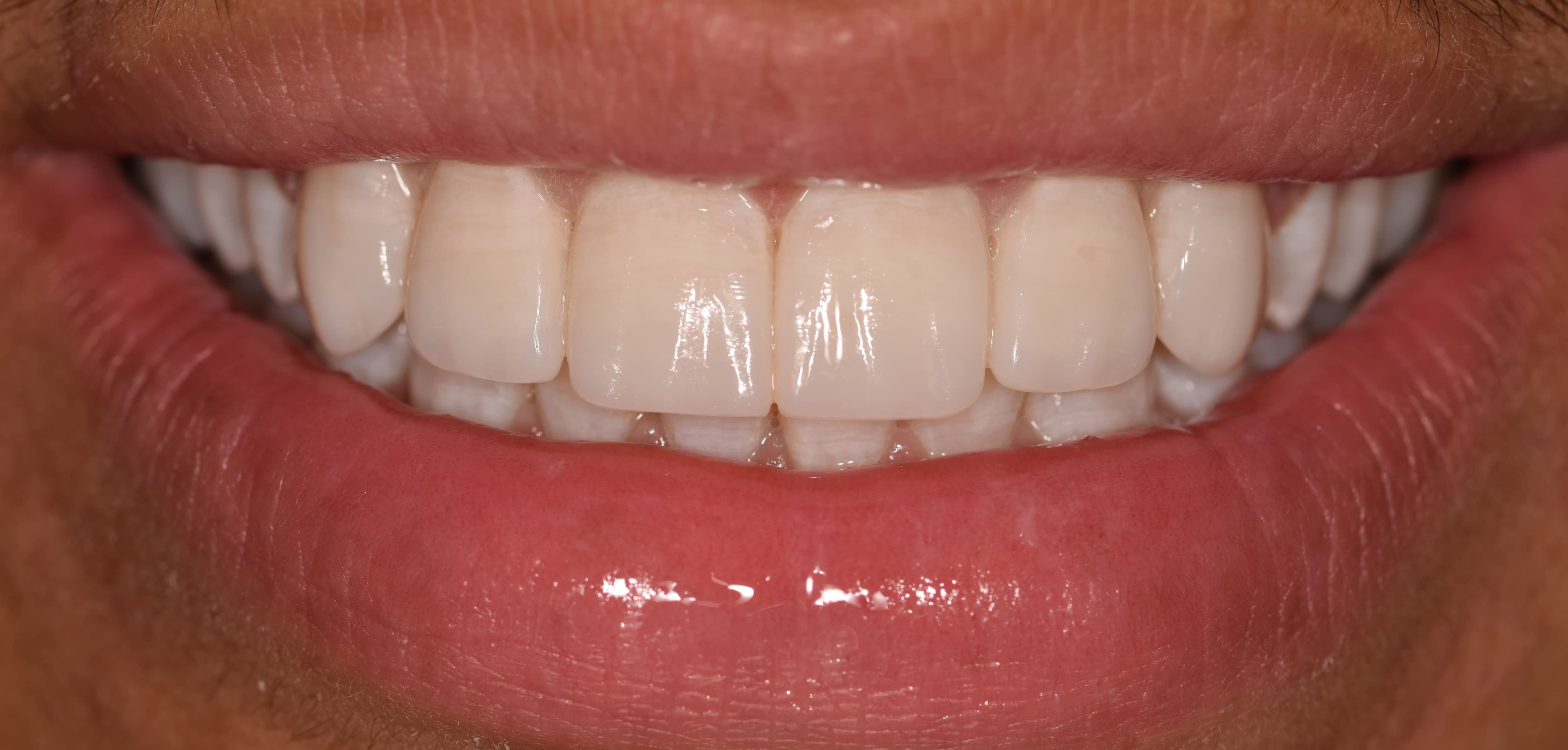
Composite BondingTreatment Duration: 1 session
Composite

Subtle and effective smile enhancement
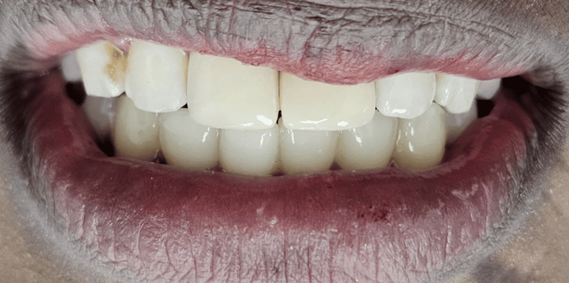
Emergency Tooth RepairTreatment Duration: 3 sessions
Emergency

Restoring A Smile Post Trauma
Patient StoriesHear What Our Patients Say
"Amazing service, after my dentist made a mess of my tooth one emergency sorted it no problem. I booked at 10am seen within the hour and tooth fully extracted."
"Managed to get me a same day appointment and fix a broken front tooth after my dog knocked it out. Highly recommend for emergency dentistry."
"The best experience I’ve had with a dentist! All the staff are professional and welcoming which helps when you are a nervous patient. I would highly recommend"
Ready to Start Your
Smile Transformation?
Take the first step towards your perfect smile. Our expert team is ready to guide you through your journey to achieve the results you've always dreamed of.